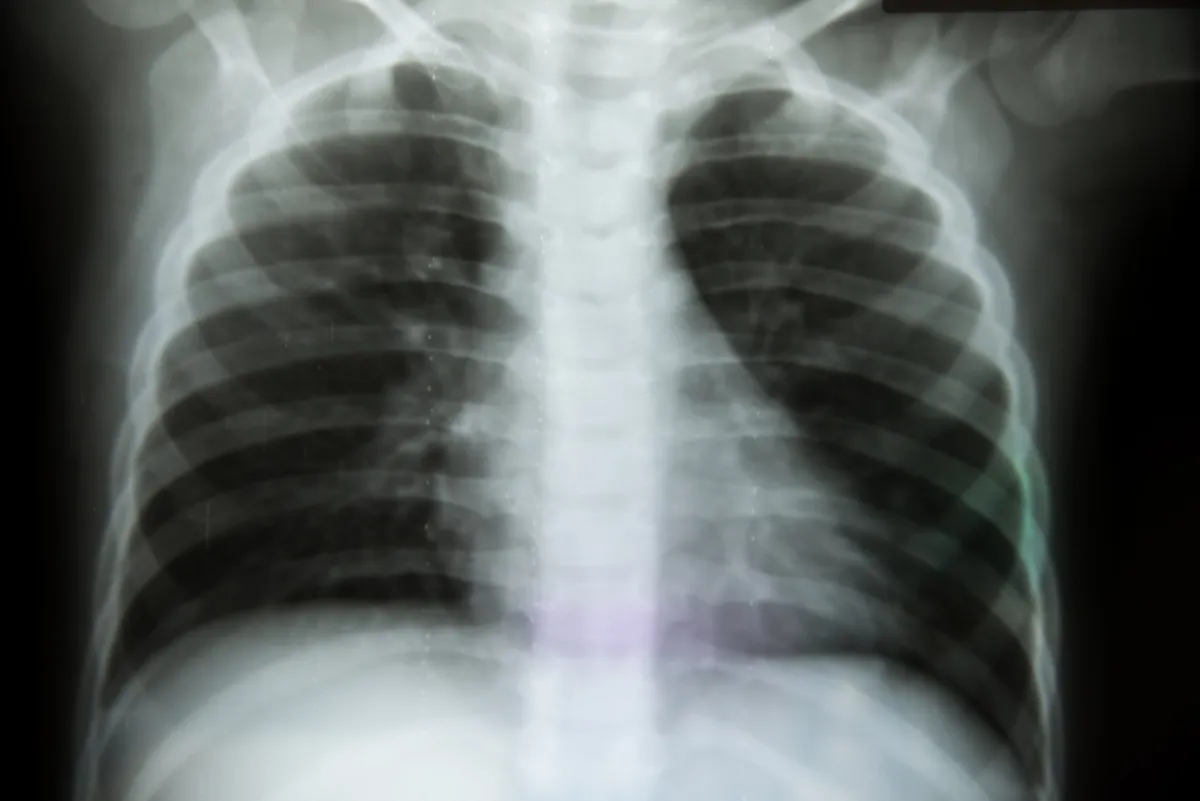
Tuberculosis kills more people than any other infectious disease—over 1.2 million a year. But in rural Mali, a health worker named Diakité Lancine now catches cases in minutes instead of months.
He uses a portable x-ray machine to scan patients' chests. The image goes to his computer, where an AI model analyzes it instantly, highlighting suspicious areas in red. What used to require a radiologist—a professional so rare that some countries have fewer than five across the entire nation—now happens at a clinic with no specialist on staff.
The gap AI actually fills
Radiologists cluster in capital cities. Rural communities, refugee camps, and crowded urban neighborhoods get nothing. TB thrives in exactly these places: where people are crammed together, where diagnosis is slow, where treatment starts late if it starts at all.
We're a new kind of news feed.
Regular news is designed to drain you. We're a non-profit built to restore you. Every story we publish is scored for impact, progress, and hope.
Start Your News DetoxThe Boniaba Community Health Center in Mali integrated this AI system and immediately saw something shift. For children especially, the impact was stark. Diagnosing TB in kids usually means collecting sputum samples—spit, basically—which is hard for young children to produce. Clinicians were ordering unnecessary tests, burning time and resources. After the AI system arrived, unnecessary sputum tests dropped by about half. Kids got faster answers. Some got treatment before the disease spread.
The numbers backing this up matter. TB cases globally rose from 10.1 million in 2020 to 10.8 million in 2023. The WHO doesn't publish these figures to depress us—they're a call to scale what works. And what's working here is cheap and fast to build. These AI systems cost less than $50,000 and take only a few months to set up. TB shows clearly on chest x-rays, which is why the technology works so well—it's not trying to do something x-rays weren't designed for.
Experts are careful here. AI isn't replacing doctors. It's replacing the absence of doctors. Regina Barzilay, an MIT computer scientist who built an AI model for a hospital in Sri Lanka, put it plainly: "It's better than nothing." In places where nothing is literally the alternative, that's not a small thing.
The real test ahead isn't whether the AI can spot TB—it can. It's whether health systems can actually treat the people the AI identifies. Faster diagnosis only saves lives if medication and follow-up care come next. That's the harder part. But for communities where a radiologist might never arrive, spotting the disease in seconds instead of months is the first domino that needs to fall.







