Scientists have found a hidden "wiring system" in brown fat. This system could help turn the body into a calorie-burning machine.
Researchers discovered how a key protein helps activate brown fat. It does this by growing blood vessels and nerve connections in this heat-producing tissue.
The study, published in Nature Communications, suggests a new way to fight obesity. This method focuses on increasing how much energy the body burns, rather than just reducing appetite.
We're a new kind of news feed.
Regular news is designed to drain you. We're a non-profit built to restore you. Every story we publish is scored for impact, progress, and hope.
Start Your News DetoxBrown Fat's Role in Burning Energy
Most body fat is white fat, which stores extra energy. Too much white fat can lead to obesity. But humans and other mammals also have smaller amounts of brown fat. This special tissue helps control body temperature and is linked to metabolism and weight.
When it gets cold, brown fat uses sugar and fats to make heat. This process is called thermogenesis.
Farnaz Shamsi, a professor at NYU College of Dentistry and the study's senior author, explained that during thermogenesis, chemical energy turns into heat instead of being stored as white fat. Brown fat acts like a "metabolic sink," using up nutrients and stopping them from being stored.
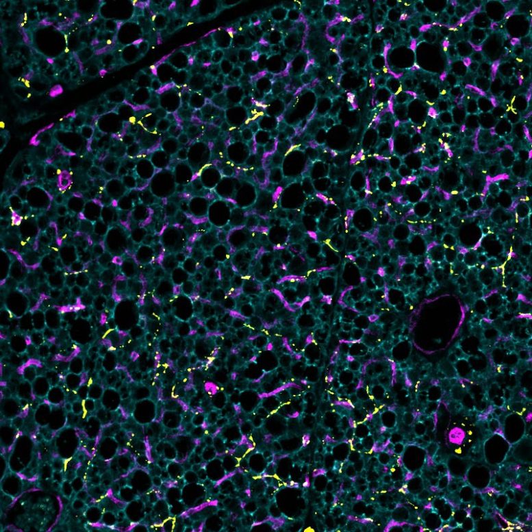
Brown fat needs many nerves and blood vessels to work well. Nerves let the brain tell brown fat to activate when it's cold. Blood vessels bring oxygen and nutrients for heat production and spread that heat. While much research has focused on fat cells, less has looked at how these support networks form.
SLIT3 Protein Controls Blood Vessels and Nerves
Earlier work from Shamsi's lab found SLIT3. This protein is released by brown fat cells and might help them communicate. Once made, SLIT3 splits into two pieces.
In the new study, researchers used human and mouse cells to find the enzyme BMP1. This enzyme cuts SLIT3 into its two parts. They found that each part has a different job. One part helps form blood vessels, and the other helps nerve networks grow.

Shamsi noted that it acts as a "split signal." This is a clever design where two parts of one factor control different processes that need to work together.
The team also found a receptor called PLXNA1. It works with one of the SLIT3 pieces to control nerve growth in brown fat. Experiments in mice showed that without SLIT3 or the PLXNA1 receptor, the animals were more sensitive to cold. They also had trouble keeping their body temperature stable. Their brown fat lacked proper nerve structure and enough blood vessels.
Links to Obesity and Metabolic Health
To see if these findings apply to humans, researchers looked at fat tissue samples from over 1,500 people, including those with obesity. They focused on the gene that makes SLIT3, which earlier studies linked to obesity and insulin resistance. Their results suggest that SLIT3 gene activity might affect fat tissue health, inflammation, and insulin sensitivity in people with obesity.
Shamsi said this finding caught their attention, suggesting the pathway could be important for human obesity and metabolic health.

A New Approach to Treating Obesity
Most current weight loss drugs, like GLP-1s, work by reducing appetite. But targeting brown fat could increase how much energy the body burns. The new discoveries, including how SLIT3 splits and how its parts interact with receptors to build nerve and blood vessel networks, point to several possible targets for future treatments.
Shamsi explained that simply having brown fat isn't enough. The tissue needs the right "infrastructure" for heat production.
Deep Dive & References
SLIT3 fragments orchestrate neurovascular expansion and thermogenesis in brown adipose tissue - Nature Communications, 2026











