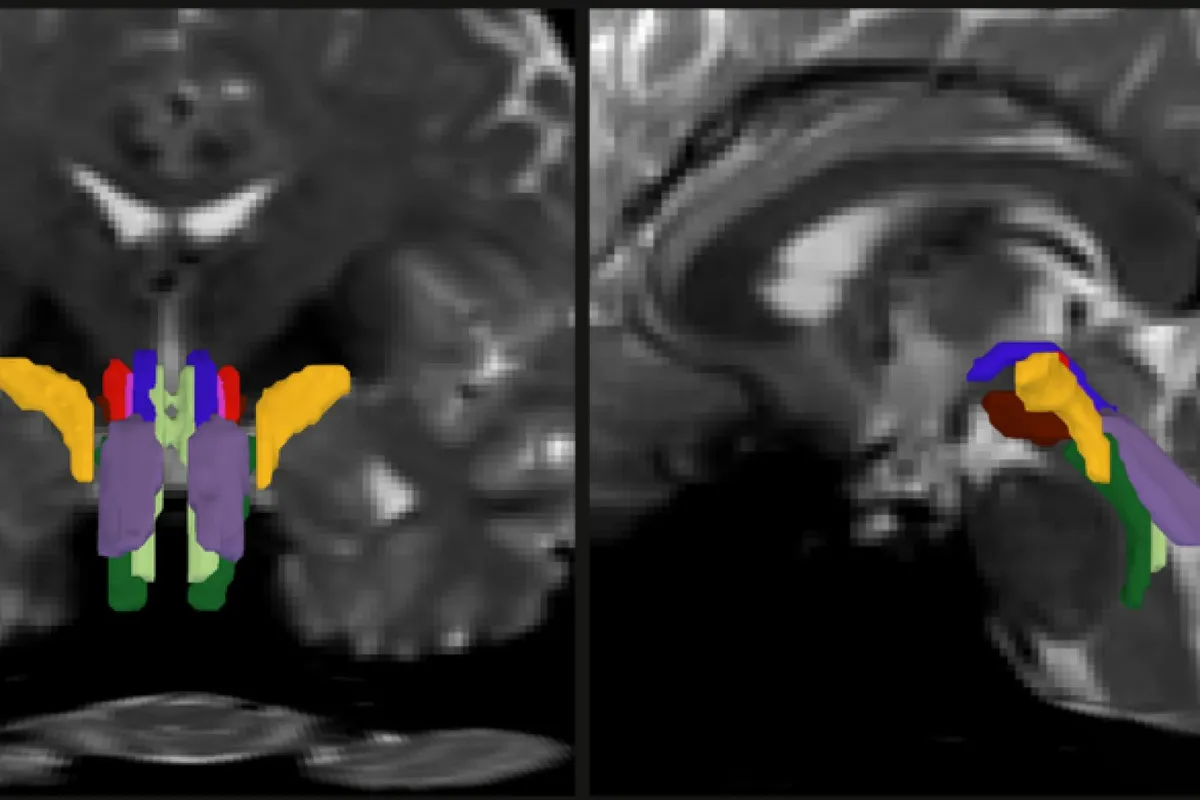
The brainstem — that crucial bundle of tissue at the base of your brain — controls whether you're awake or asleep, how fast your heart beats, whether you breathe easily. Yet doctors have struggled to see it clearly on scans. The fibers that do this work, called white matter, are too fine and tangled for standard imaging to resolve. Until now.
Researchers at MIT, Harvard, and Massachusetts General Hospital have built an AI tool that can automatically map eight distinct fiber bundles in the brainstem with precision that wasn't possible before. Called the BrainStem Bundle Tool (BSBT), it works by combining diffusion MRI scans with a neural network trained to recognize patterns humans would miss. The team published their findings in the Proceedings of the National Academy of Sciences and made the software freely available.
"The brainstem is essentially not explored because it's tough to image," says MIT graduate student Mark Olchanyi, who led the work. "People don't really understand its makeup. We need to know what the organization looks like and how it breaks down in disease."
We're a new kind of news feed.
Regular news is designed to drain you. We're a non-profit built to restore you. Every story we publish is scored for impact, progress, and hope.
Start Your News DetoxWhy this matters for diagnosis
When the researchers tested BSBT on patients with Parkinson's disease, multiple sclerosis, traumatic brain injury, and Alzheimer's disease, something unexpected happened: each condition left a distinct fingerprint on the brainstem. In Parkinson's patients, three of the eight bundles showed structural damage. MS patients showed the most severe changes, with four bundles losing integrity and three shrinking over time. Most striking: the tool tracked a coma patient's recovery over seven months, watching lesions on the nerve bundles shrink by two-thirds as the person regained consciousness.
This isn't just interesting neuroscience. For the first time, doctors have a way to see whether the brainstem itself is damaged in conditions that affect consciousness, breathing, and heart function. That changes how they might assess recovery or spot problems early.
The researchers validated BSBT by training it on 30 brain scans from a public database, then testing it against actual dissections of post-mortem brains — essentially checking their AI against the gold standard of direct observation. It held up. When they scanned 40 volunteers twice, the tool identified the same eight bundles consistently both times.
"The brainstem is one of the body's most important control centers," says Emery Brown, Olchanyi's supervisor. "By enhancing our capacity to image it, we get new access to how the brain regulates breathing, heart rate, temperature, sleep — all the things that keep us alive."
The next phase is already underway: researchers around the world now have access to the tool, which means we'll likely see studies on how brainstem damage predicts recovery after stroke, how it changes in neurodegenerative diseases, or whether it could catch problems before symptoms show up. The invisible pathways are finally visible.










